Call Today for a Free Consultation
Whitening or Veneers – Which is Best for Stained Teeth?

A bright, healthy smile is often associated with confidence and beauty. But over time, many people experience tooth discoloration due to various factors like aging, diet, and lifestyle habits. Stained or discolored teeth can make you feel self-conscious about your smile, but fortunately, there are effective cosmetic dental treatments available. Two popular options for addressing stained teeth are teeth whitening and veneers. But which one is best for your situation?
In this blog, we will explore the differences between teeth whitening and veneers, how they work, and which might be the right choice for you based on your needs and goals.
Understanding Teeth Whitening
Teeth whitening is one of the most common cosmetic treatments for improving the appearance of stained or yellow teeth. It is a non-invasive process that lightens the natural color of your teeth, often without removing any surface of the tooth. Whitening treatments can vary in strength and duration, but they all aim to reduce stains and make teeth look brighter.
How Does Teeth Whitening Work?
Teeth whitening involves applying a bleaching agent, typically hydrogen peroxide or carbamide peroxide, to the surface of your teeth. This gel works by breaking down stains and discoloration into smaller particles, making your teeth appear whiter. The process can be done in a dental office or at home, depending on the method you choose.
There are two main types of teeth whitening:
- In-office Whitening: This method provides faster results, often in just one visit. A professional will apply a stronger bleaching agent to your teeth, sometimes using a special light to speed up the process.
- At-home Whitening: These kits are provided by dental professionals or available over-the-counter. They include whitening trays or strips that you use daily over a few weeks.
Who Is a Good Candidate for Teeth Whitening?
Teeth whitening is ideal for people with mild to moderate surface stains caused by foods, drinks, or smoking. It works well on natural teeth but may not be as effective on severe discoloration or internal stains caused by trauma or medications. It’s also important to note that whitening does not change the color of crowns, fillings, or veneers.
If you’re looking for a quick and non-invasive way to brighten your smile, teeth whitening can be an excellent choice.
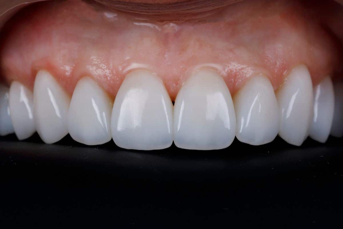
What Are Veneers?
Veneers are thin, custom-made shells designed to cover the front surface of your teeth. Unlike whitening, which changes the color of your natural teeth, veneers are applied to the outside of your teeth to conceal imperfections, including stains, chips, or gaps. Veneers are typically made of porcelain or composite resin, both of which mimic the appearance of natural teeth.
How Do Veneers Work?
Getting veneers is a more involved process than teeth whitening. It usually requires two to three dental visits. During your first visit, a small amount of enamel is removed from the surface of your teeth to make room for the veneer. Then, a mold is taken, and custom veneers are crafted to fit your teeth perfectly.
Once the veneers are ready, they are bonded to the front of your teeth using a special adhesive. Porcelain veneers, in particular, are highly durable and can last up to 15 years or longer with proper care.
Who Is a Good Candidate for Veneers?
Veneers are a great option for people with more severe dental imperfections, including:
- Deep stains that don’t respond to whitening treatments
- Cracked or chipped teeth
- Gaps between teeth
- Minor misalignments
- Worn-down teeth
Veneers offer a longer-lasting solution for those who want to completely transform their smile. However, they require some alteration to the natural tooth structure, so it’s essential to weigh the pros and cons before committing to the treatment.
Comparing Teeth Whitening and Veneers
Now that we’ve looked at how teeth whitening and veneers work, let’s compare them to help you decide which treatment is best for you.
- Effectiveness on Stains
- Teeth Whitening: Best for surface-level stains caused by food, beverages, or smoking. Whitening can brighten teeth by several shades, but it may not work well on deeper or internal stains.
- Veneers: Veneers are more effective at covering severe discoloration and deeper stains that whitening can’t fix. Since veneers are a cosmetic cover, they hide any imperfections completely.
- Duration of Results
- Teeth Whitening: The effects of whitening are not permanent. Depending on your lifestyle and oral hygiene habits, results can last anywhere from a few months to a couple of years. Touch-up treatments are often needed to maintain the brightness.
Also Read: Tips for Long-Lasting Results with Whitening
- Veneers: Veneers offer a much longer-lasting solution. Porcelain veneers can last 10 to 15 years or more with proper care. They are stain-resistant, so you don’t have to worry about discoloration over time.
- Procedure Invasiveness
- Teeth Whitening: Teeth whitening is a quick, non-invasive treatment. You can often complete the procedure in a single appointment or through an at-home kit.
- Veneers: Getting veneers is a more involved process. It requires removing a small amount of tooth enamel to place the veneer, making it a permanent alteration to your teeth. Veneers may take multiple visits to complete.
- Cosmetic Outcome
- Teeth Whitening: If your goal is to simply brighten your smile and remove stains, teeth whitening is a great choice. It provides a natural look by enhancing the appearance of your natural teeth.
- Veneers: Veneers provide a completely new look for your smile. In addition to addressing discoloration, veneers can change the shape, size, and alignment of your teeth, offering a more dramatic cosmetic outcome.
Making the Right Choice for Your Smile
Choosing between teeth whitening and veneers ultimately depends on your personal goals, budget, and the condition of your teeth. If you have surface stains and want a quick, affordable solution, teeth whitening may be the best option for you. It offers a fast, non-invasive way to brighten your smile, especially if you don’t have any other dental concerns.
On the other hand, if you’re dealing with more severe stains, chips, or gaps, and are looking for a long-lasting, comprehensive solution, veneers may be a better choice. They offer a more dramatic transformation, but the process is more involved and comes with a higher price tag.
Make Your Choice For a Confident Smile
Both teeth whitening and veneers can enhance your smile, but they serve different purposes. Teeth whitening is ideal for those with mild to moderate discoloration, while veneers are perfect for individuals seeking a more permanent solution to severe stains and other imperfections.
Before deciding which treatment is right for you, it’s important to consult with a dentist who can assess your needs and help you choose the best option. Whether you choose whitening or veneers, the goal is the same: a brighter, more confident smile that you’ll love to show off.

