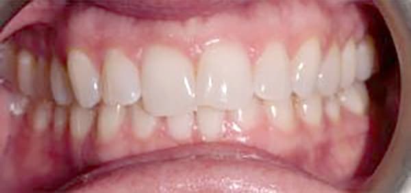
Less than 6 months of Invisalign with a little bonding and reshaping of the teeth to straighten this smile.
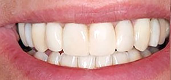
A bridge and crowns to restore this smile with a natural look.
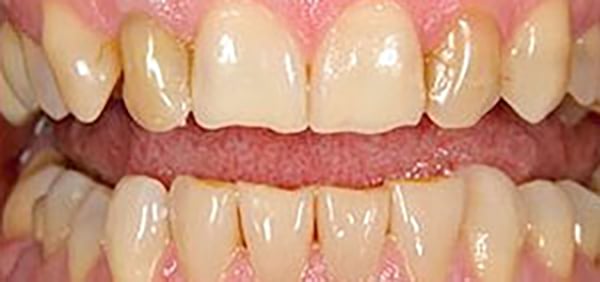
New denture to whiten and lengthen the teeth.
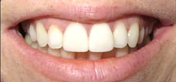
8 minimal prep veneers to lighten and broaden the smile.
Crowns, a bridge, and veneers to restore function and replace wear on teeth
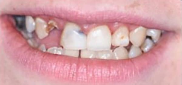
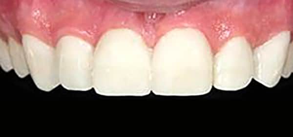
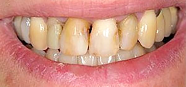
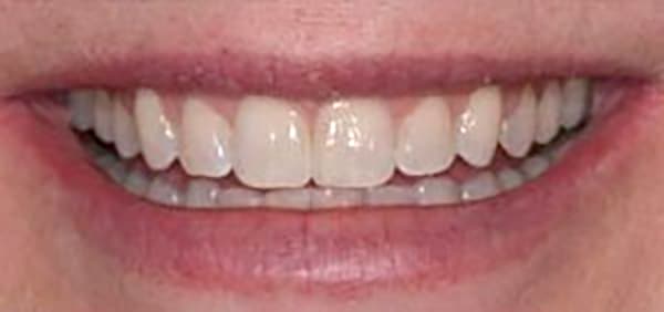
Crowns to restore teeth back to original shape and remove decay. A much healthier, more confident smile.
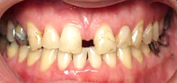
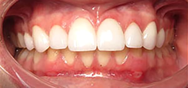
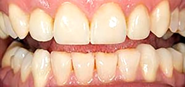
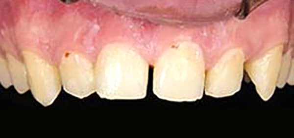
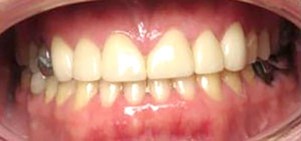
This patient desired not to do ortho, so we closed the gap using crowns and a natural color to match other teeth.
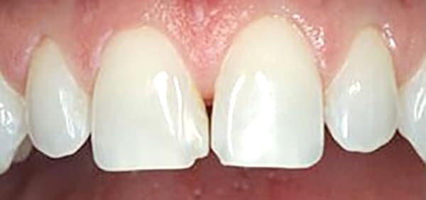
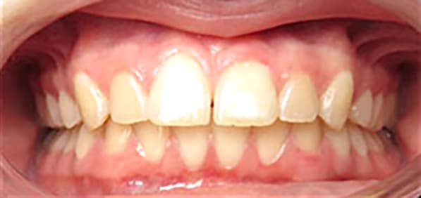
Two conservative veneers to mask a dark tooth that had changed color due to a root canal.
A very difficult case to restore a natural bite and appearance using a mixture of crowns and bridges..